02 Feb 2006
Behandling med diskusprotese
Behandling med diskusprotese. Rygproblemer og behandling med diskusprotese. Ondt i ryggen kan behandles.
Begge fra privathospitalet Center for Rygkirurgi A/S. Thomas Kiær er ligeledes overlæge dr. med og sektionsleder på Rigshospitalets Ortopædkirurgiske Klinik.
Behandling med diskusprotese
Det aktuelle behov for protesekirurgi vurderes at være mellem 200 til 300 patienter årligt. Det fremtidige behov skønnes at være på tredjedel af den fusionskirurgi, som udføres i dag. Inden for fusionskirurgi udføres ca.1.500 operationer i Danmark om året - men det forventes, at dette tal vil stige.Kort om behandlingen
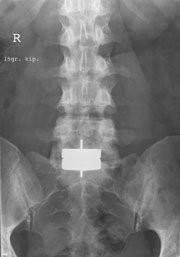
Diskusprotesebehandlingen afløser den konventionelle operationsmetode, der består i, at man fjerner den læderede bruskskive mellem hvirvlerne og i samme indgreb foretager en stabiliserende, stivgørende operation af hvirvelsøjlen. Hermed reduceres smerteintensiteten i et vist omfang, men der opnås ikke samme bevægelighed som ved behandling med diskus-protese.

I Danmark begyndte man at anvende diskusprotese i 2003. Ultimo november 2004 er der udført ca. 160 operationer med diskusprotese på 7 afdelinger i landet. Alle nuværende resultater peger på, at behandling med diskusprotese er på højde med eller bedre end den nuværende anvendte fusionskirurgi for degenerativ lidelse i den lave lænd. Komplikationsraten er ikke højere, og teoretisk er der mange fordele, idet mobiliteten bevares og sekundære komplikationer til fusionskirurgi undgås.
Baggrund for og udvikling af behandlingen
Artificiel erstatning af diskus i lænd og nakke har som metode eksisteret i ca. 20 år. Evidensen for anvendelse af diskusproteser er under udbygning. Diskusprotese har været anvendt i Europa ved flere centre i de senere år, og der eksisterer en række rapporter om metoden og resultater ud fra konsekutive patientserier. Set i lyset af at metodens udbredelse først begyndte omkring 2004, er evidensen fuldt acceptabelt, og det må betegnes som særdeles positivt, at så mange randomiserede studier er på vej i den tidlige fase af en metodes mere generelle udbredelse. Alle interimrapporter peger på, at de randomiserede studier vil dokumentere samme effekt af indgrebet, som er fundet i konsekutive patientserier.
Flere protese-designs har været anvendt. Det mest almindelige anvendte design i dag er protese med metal-backing med eller uden polyethylendel, ganske lig protese-designs anvendt i knækirurgien.
På markedet eksisterer der i dag fire forskellige protesetyper, som har udbredt anvendelse. Charité protesen var den første, der blev kommercielt tilgængelig, Prodisc er anvendt fra omkring 1990 og Maverick protesen fra Medtronic er fra ca. år 2000. Øvrige protesetyper er under udvikling og finder stigende anvendelse.
Der eksisterer et større antal artikler, der dokumenterer biomekaniske forhold, protese-designs, rationaler og et større antal arbejder, der omhandler konsekutive patientserier fra enkelte behandlingscentre.
Der pågår nu, derudover, i hvert fald fire randomiserede multicenterstudier i USA og Europa:
Studie 1: USA - undersøger Charité protesen over for anterior cage spondylodese. Der er godt 300 patienter i studiet og interimresultaterne viser særdeles gode "outcomes" for protesepatienterne. Komplikationer ikke øget i forhold til Anterior fusion. Studieresultater er publiceret i peer reviewed tidskrift.
Studie 2: USA - undersøger Prodisc over for circumferential fusion dvs. forreste - bageste operation. Interimresultater viser bedre resultater for proteser
Studie 3: Europæisk studie - samme status som studie 2
Studie 4: Skandinavisk studie - Multicenter studie i Danmark og Sverige med undersøgelse af Medtronic protesen over for bagre uinstrumenteret fusion. Interimresultater foreligger ikke.
Samlet foreligger der således snart solid evidens for metodens anvendelighed. De første erfaringer, der er høstet i Danmark, er meget positive, og indikerer, at metoden vil have stor anvendelighed i fremtiden. Det er samtidig meget lovende, at man har samlet de tidlige erfaringer med metoden i Danmark og har kunnet konstatere, at der ikke er væsentlige eller alvorlige komplikationer registreret ved indgrebet i den første fase af ibrugtagningen.