07 Feb 2018

Lungekræft (Lungecancer)

Lungekræft opstår ofte efter mange års rygning i lungernes celler. Der er to hovedtyper af lungekræft: den småcellede og den ikke-småcellede. Frugt, grønt og fysisk aktivitet nedsætter måske risikoen.

Læge, Jakob Fraes Rasmussen
lungekræft

Definition og årsager

Lungecancer defineres som en ondartet tumor (svulst uden væksthæmning), der er dannet i lungerne. Der findes flere forskellige typer af lungecancer, men langt den hyppigste er den type, som udgår fra celler i bronkierne (luftvejsgrenene).

Den vigtigste årsag til lungecancer er uden tvivl rygning. 90% af de personer, som får lungecancer er tidligere eller aktuelle rygere. Storrygere er en særligt udsat gruppe, idet et dagligt forbrug på over 10-15 cigaretter øger risikoen for lungecancer betydeligt. Andre årsager er svær luftforurening , arbejde med asbest og udsættelse for radioaktiv stråling.

Lungecancer er en af de hyppigste cancertyper blandt både kvinder og mænd. Der ses en tendens til, at flere kvinder rammes, hvilket kan skyldes, at der er flere kvindelige rygere end mænd. Der er ca. 3500 tilfælde af lungecancer i Danmark om året, og Danmark er det land i Skandinavien, som har flest tilfælde pr. år.

Symptomer på lungekræft


Det problematiske ved lungecancer er, at de alvorlige symptomer ofte viser sig meget sent i forløbet, hvor tumoren er betydelig fremskreden.

Tidlige symptomer, som nedenstående, mistolkes derfor ofte som en almindelig bronkitis eller lungebetændelse :

  • Hoste.
  • Opspyt, blodigt opspyt ved langvarig hoste.
  • Smerter i brystkassen og evt. ryggen.


Symptomer i senstadiet:

  • Åndenød, ses når tumor har spærret en stor luftrørsgren.
  • Åndenød, kan også ses når der er tumorindvæskt i de nerver som styrer mellemgulvsmusklen (åndedrætsmusklen)
  • Synkeproblemer, ses når tumor presser på spiserøret
  • Smerter i brystkassen ses når tumoren vokser ind i lungehinden. Smerter i skulder og arm ses, når der er indvækst i rygradsknoglerne og de nerver, der forsyner armen.

Forholdsregler og diagnose


Er man storryger eller har arbejdet i et risikofyldt miljø som nævnt ovenstående, skal man være ekstra opmærksom på symptomer som vedvarende hoste evt. med blodigt opspyt. Er man i tvivl om, hvorvidt det er en infektion eller noget ondartet, kan det anbefales at søge egen læge.

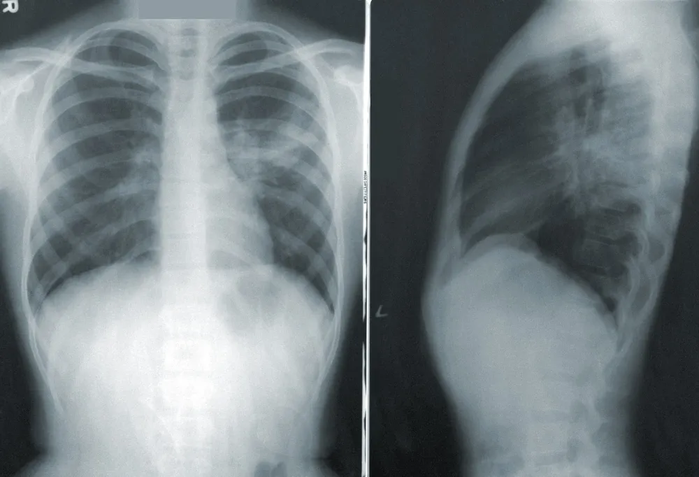
Lægen kan ved stetoskopi høre nedsat åndedrætslyde på den syge side. Ved at tage et røntgenbillede kan man i langt de fleste tilfælde se, om der skulle være en lungecancer. Den undersøgelsemetode, der visualiserer lungerne bedst, er dog en CT-scanning .

For at få lungevævet undersøgt for en ondartet tumor, skal man indhente en prøve af lungevævet. Hertil kan man benytte bronkoskopi , som er en kikkertundersøgelse gennem luftrøret, hvor man kan tage en biopsi fra det mistænkelige lungevæv. Hvis tumoren sidder yderligt, tæt på brystkassen, kan biopsien tages ved at stikke en lille nål ind gennem huden.

Behandling af lungekræft

På diagnosetidspunktet kan 30% af patienterne opereres. Følgende forhold gør sig her gældende: Før det første skal lungecanceren være af en specifik type, som udgør ca. 80% af lungecancertyperne (ikke-småcellede karcinomer). Dernæst må tumoren ikke være vokset ind i knogler eller vokset kraftigt ind i hovedpulsåren. Da man skal sikre sig, at der er tilstrækkelig funktionsdygtigt lungevæv tilbage efter en operation, skal man have foretaget en lungefunktionsundersøgelse inden operationen.
På denne måde kan lægerne vurdere, om man kan tåle at få fjernet hele lungen eller kun en del af den. Ved operation fjerner man ligeledes lymfeknuder langs luftrøret, hovedpulsåren og spiserøret for at sikre sig, at canceren ikke spreder sig med lymfen.

Ved at benytte stråleterapi kan man mindske eventuelle smerter, men det har ingen kurerende effekt.

Kemoterapi benyttes langt overvejende til den lungecancertype, som udgør ca. 20% af tilfældene (småcellede karcinomer). Det har en god lindrende effekt på smerterne og forlænger levetiden.

Af andre smertelindre behandlingsmetoder kan nævnes indlæggelsen af et net i luftrøret som holder det udspændt, således at der sikres god luftpassage.

Forebyggelse af lungekræft

Rygestop
Den vigtigste forebyggende faktor er rygestop. Det er videnskabeligt bevist, at rygestop forlænger levetiden og forebygger bl.a. lungecancer fra den dag, man stopper med at ryge. Det vil sige, at selv om man har røget hele livet, vil risikoen for at udvikle bl.a. lungecancer falde dagen efter, at man er stoppet, man er dog stadig i en højere risikogruppe end den gruppe, der aldrig har været rygere.

Arbejdsmiljø
Der er meget fokus på asbest i arbejdsmiljøet, og arbejder man med nedrivning af gammelt asbestmateriale er det vigtigt, at man er iført det korrekte arbejdstøj og maske. Desuden vil det være en fordel at bære maske i stærkt luftforurenede områder.

Forløb og komplikationer

Bliver man diagnosticeret med lungecancer, er prognosen generelt rigtig dårlig. Levetiden er stærkt reduceret og dem, der lever flere år med lungecancer, har oftest væsentligt forringet livskvalitet, da smerter og nedsat funktionsniveau hyppigt ses.